{{ getTotalHits() | thousandNumberSeperatorFilter }} resultater Filter
{{group.groupName}}

{{ group.groupName }}

Medlemmer: {{group.memberCount}}
Forside Forum Medlemmer Annoncer {{ group.itemMoreItems }}
815 visninger | Oprettet:

Skade? HJÆLP (råd søges, røntgenbillede vedhæftet) {{forumTopicSubject}}

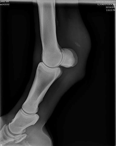
Hej folks, jeg har dette røntgenbillede af min hoppe. hun er blevet brugt for halvanden år siden 3x5 gange ugentligt på rideskole og er blevet totalt overbelastet, resulterede i hun blev halt hver 3-4 uge, og stod så stille i en mdr, derefter fuld træning igen som rideskoler nu for det meste gør uden genoptræning.

jeg har haft hende i to mdr nu, i normal træning, og har haft dyrlægen i tlfen flere gange, og haft folk indenover. Hun er har ikke været halt endnu, og har absolut ikke vist nogle former for smerter? skal have dyrlægen ud til fuld tjek af benet om 4 uger - hun har heller aj feber.

- Og hun er fuld af energi, og så arbejdsvillig.
Men der er jo denne bugle, og det ligner ikke en knogle. De sagde først ved rideskolens tjek med dyrlæge, at det var mus, men det var det så ikke, så siger næste dyrlæge en forkalkning, men det tvivler vi også på. Hvad vil i sige?

VH!


Handyhand

Få billig hjælp fra private

Beskriv din opgave og modtag gratis bud fra lokale med Handyhand.

Seneste udførte opgaver

  • Flytte rengøring 1.500 kr.
  • Elektriker 500 kr.
  • Elektriker 750 kr.
  • Loftudtag ingen strøm 1.500 kr.
  • 3 timers gartner arbejde 1.000 kr.

Opret en opgave

Kommentarer på:  Skade? HJÆLP (råd søges, røntgenbillede vedhæftet)
  • #1   4. maj 2020 Om det kan sammenlignes, ved jeg ikke, men jeg har selv forstenede inflammationer på mine underben/ hæle. Det er ubehandlet betændelsestilstand, der sætter sig på knoglerne som en slags ekstra knogle. Jeg havde, desv, en læge, der ikke lyttede til mig, da jeg klagede over smerter og gik derfor, for længe og var ubehandlet.
    Hos heste findes også noget, der hedder overben, som opstår ved en skade/ slag på knoglen. Men om det er det din hest har, ved jeg ikke, da jeg ikke er dyrlæge.
    Hvis du ikke er tilfreds med den dyrlæge, der har taget røntgen billedet, så find en anden, der er bedre til, at forklare hvad din hest fejler.


  • #2   4. maj 2020 Jeg er ikke 100% sikker på, hvad det er du mener?
    Og hvad er det vi kigger på? Forben? Bagben?
    Hvad er det helt præcist, du er bekymret for?

    Hvis det er den lille splint, der "svævet" ude i vævet, så gætter jeg på, at det er en forkalkning i senevæv.
    Ved langvarig belastning kan der udfældes knogle. Ses fx på rtg hos mennesker med hælspore.
    Betydningen for din hest kan jeg ikke udtale mig om.

    Jeg tror, at evnen til at svare på dine spørgsmål sidder hos en fagperson, der kan se hest og rtg billeder. Du må væbne dig med tålmodighed, indtil han kommer ud.
    - og så har jeg en lille undring.
    Hvorfor køber du en kendt kronisk skadet hest?
    Hvad med forsikring og handelsundetsøgelse?
    Hvad er dine planer, hvis skaden blusser op igen?


  • #4   8. maj 2020 Jeg er i fuld træning efter at have været igang med genoptræning, på 1,5 mdr. Og nu har jeg redet hende 5 dage i ugen indtil videre, i to uger, og der har absolut intet været.... Forstår det ikke...

  • #5   8. maj 2020 Jeg er stadig lidt i tvivl om, hvad problemet er nu.
    (og hvad det er røntgen er taget af - og hvad på røntgen du er bekymret for)

    - Hvad er din bekymring?
    - Har hesten det godt nu, eller er den skadet nu??



  • Dorte H
    Dorte H Tilmeldt:
    apr 2019

    Følger: 1 Følgere: 2 Svar: 216
    #6   8. maj 2020 Med mindre der sidder uddannede dyrlæger og kigger med herinde, tvivler jeg på at du kan få bare tilnærmelsesvis kvalificeret sparring på potentielle røngten-forandringer i dette forum...

    Men jeg studser over, at hesten pt. er i "normal træning", hvis du samtidig mistænker skade(r) - og når du under alle omstændigheder vælger at sende hende i fuld udredning, hvorfor så ikke gør det nu, og vente med at sætte hende i fuldt arbejde, til resultatet foreligger?


Kommentér på:
Skade? HJÆLP (råd søges, røntgenbillede vedhæftet)

Annonce